CAP presents challenges for clinicians
While not treating patients with pneumonia could be catastrophic, giving antibiotics to those who don't have it also causes harm.
Community-acquired pneumonia (CAP) can pose a conundrum for internal medicine physicians given the many diagnoses that might underpin a patient's cough, congestion, and other nagging respiratory symptoms.
Lower respiratory tract infections remain the leading infectious cause of death in the U.S. Every year, 1.4 million Americans seek emergency room treatment for pneumonia and slightly more than 41,000 die, according to federal data. But research shows that physicians still miss some pneumonia cases while others can be misdiagnosed.

One recent analysis, involving 17,290 hospitalized patients in Michigan, found that clinicians had inappropriately diagnosed 12% of patients with respiratory symptoms with pneumonia. Nearly 88% of those misdiagnosed patients completed a full course of antibiotic treatment, according to the findings, published online on March 25 in JAMA Internal Medicine.
Joshua Metlay, MD, PhD, FACP, said that the study's findings illustrate the risk of inappropriate diagnosis, even in the hospital setting. "I think we suspect that that's even a bigger problem in the outpatient setting. We know that there's this heuristic where physicians are much more concerned about missing something to treat than overtreating," which is especially true when antibiotics are involved, Dr. Metlay said. He co-chaired the American Thoracic Society (ATS)/Infectious Diseases Society of America (IDSA) Ad Hoc Committee on Community-Acquired Pneumonia in Adults, which published a related clinical practice guideline in 2019 in the American Journal of Respiratory and Critical Care Medicine.
"This is not a trivial diagnostic problem," Dr. Metlay said. "Not treating somebody with pneumonia could be catastrophic. And treating a lot of people who don't have pneumonia is also causing a lot of harm."
Yet definitive diagnostic markers remain scant, physicians said. "History and physical is not particularly accurate in distinguishing those patients," Dr. Metlay said. There's also no clear-cut evidence that one antibiotic is significantly better than another, and the research data involving some first-line antibiotics are limited, according to a meta-analysis published online February 15 in the Journal of General Internal Medicine (JGIM). Meanwhile, physicians must watch out for patients who are more vulnerable to becoming seriously ill, or whose symptoms may stem from a rarer but still emerging category of fungal infections.
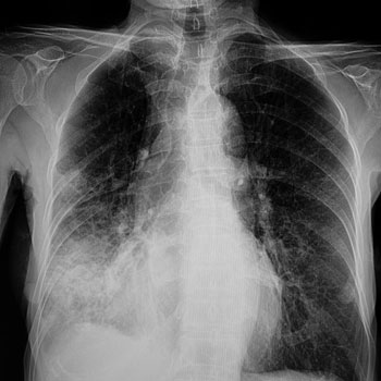
Isolating a pneumonia diagnosis can be challenging, particularly for internal medicine physicians without easy access to a chest X-ray, said Mark Ebell, MD, MS, a professor of epidemiology at the University of Georgia College of Public Health in Athens, who has studied pneumonia diagnosis and treatment, including for the recent JGIM meta-analysis. Since there's no well-validated risk score, physicians must rely upon their overall clinical impression, and signs and symptoms can be misleading, he said.
"You might have a patient where they look pretty good, but then you listen to their lungs, and you hear some crackles," Dr. Ebell said, noting that older individuals without pneumonia can have audible crackles. "Don't rely on single findings to the exclusion of looking at the whole picture of the entire patient," he suggested.
Diagnostic approaches
Clinical signs and symptoms alone aren't sufficient to diagnose pneumonia, according to the ATS/IDSA guideline. But in practice, physicians working in an outpatient setting may not have a chest X-ray on site, which contributes to overprescribing, Dr. Metlay said.
"The patient is in front of you, they're unwell, and you're concerned that they might have pneumonia," he said. The physician is left with two options, he added: prescribing an antibiotic right then or sending the patient elsewhere for a chest X-ray. "You have to admit that the first option is pretty appealing and a lot more efficient, and probably the patient is going to prefer it," Dr. Metlay said.
Some studies, including research involving Dr. Metlay, indicate that pneumonia can sometimes be largely ruled out without a chest X-ray. One systematic review and meta-analysis found that adults with an acute respiratory infection who had normal vital signs and a normal pulmonary exam were very unlikely to have CAP. Given a baseline pneumonia risk of 4%—based on other research showing that most patients with acute cough don't have pneumonia—patients with normal vital signs and a normal exam only have a 0.4% likelihood of having contracted the infection, according to the findings, published in 2019 in the Journal of the American Board of Family Medicine.
When patients report a nagging cough and other lower respiratory symptoms, Victoria Burke, MD, FACP, focuses on distinguishing between two potential primary causes—pneumonia or acute bronchitis—as the latter is typically viral and won't benefit from antibiotic treatment.
With both diagnoses, patients can describe overlapping symptoms, including fever, a productive cough with sputum, and shortness of breath, said Dr. Burke, an infectious diseases physician and an associate professor of medicine at Louisiana State University Health Sciences Center in New Orleans.
The acute bronchitis guidelines from the American College of Chest Physicians, Dr. Burke noted, provide guidance regarding whether a chest X-ray might be helpful. If the patient's vital signs are normal and the pulmonary exam doesn't identify any abnormalities, such as focal consolidation, egophony, or fremitus, the likelihood of pneumonia has been reduced "sufficiently to eliminate the need for a chest radiograph," the guidelines' authors wrote.
But when there's any uncertainty, physicians should consider ordering a chest X-ray, given the potentially life-threatening stakes involved, Dr. Burke said. "That's something to me where you go a bit of an extra step to feel confident in your diagnostics," she said. "If you think someone has CAP, I think they deserve a chest X-ray."
Sorting through treatment options
In 2022, health care professionals wrote 236.4 million prescriptions for antibiotics, 70 million of them by primary care physicians, according to outpatient data from the CDC. Roughly one-third of antibiotics prescribed in the outpatient setting are unnecessary, the CDC has noted. Unnecessary antibiotic prescribing not only fosters antibiotic resistance more broadly but also boosts a patient's vulnerability to adverse effects, including yeast infections and Clostridioides difficile.
The ATS/IDSA guideline recommends initially prescribing amoxicillin, doxycycline, or a macrolide in patients without comorbidities or risk factors for methicillin-resistant Staphylococcus aureus or Pseudomonas aeruginosa. The guideline also recommends several combination therapies, such as amoxicillin/clavulanate, or monotherapy with a respiratory fluoroquinolone in patients with comorbidities, which include diabetes and heart failure, among other conditions.
The guideline states that there's little evidence of the superiority of one antibiotic regimen over another in the outpatient setting, given "the paucity" of data from randomized controlled trials and the need for more head-to-head prospective studies. The recent JGIM meta-analysis reached a similar conclusion that "no antibiotic was clearly more effective than any other."
But the JGIM results did suggest a better clinical response for nemonoxacin, levofloxacin, telithromycin, and clarithromycin over penicillin and amoxicillin, the authors wrote, adding that the meta-analysis results are limited by the lack of statistical significance and the relatively small number of studies directly comparing drugs. The evidence for doxycycline was particularly weak, including studies too dated to include in the meta-analysis.
"What we can say is that the evidence to support use of amoxicillin and doxycycline as first-line drugs for uncomplicated outpatients with community-acquired pneumonia is relatively weak," said Dr. Ebell, one of the study's authors. Given that, physicians should consider prescribing a combination therapy or monotherapy with a fluoroquinolone in nonhospitalized patients with comorbidities or those who are at least moderately ill, he said.
Dr. Burke disagreed that doxycycline should be ruled out, citing a meta-analysis published on Feb. 15, 2023, in Clinical Infectious Diseases, which assessed six randomized studies that compared doxycycline to macrolides or fluoroquinolones. Researchers found that doxycycline's efficacy was comparable for the treatment of mild to moderate CAP.
Typically, physicians select the initial antibiotic based not just on patient comorbidities but also allergies and potential side effects as well as insights into drug resistance patterns in their local area, said Dr. Burke and other physicians. "There's all kinds of things that go into the decision about why to choose some antibiotics over others, mostly patient factors," said Erica N. Johnson, MD, FACP, an infectious diseases physician and associate professor of medicine at Johns Hopkins University School of Medicine in Baltimore.
For instance, Dr. Johnson would likely avoid fluoroquinolones in a patient who previously had C. difficile or is considered at high risk, since that drug class has the most association with the infection, she said. In other cases, side effects or drug interactions can play a role. Fluoroquinolones and macrolides can potentially prolong the QT interval, increasing the risk for the arrhythmia torsades de pointes, and thus she would consider other antibiotic options in patients with arrhythmia or those who already were taking another medication with that potential side effect.
In other cases, dosing can make the difference, she said. Since amoxicillin is prescribed three times a day, the patient might find it easier to take amoxicillin/clavulanate, which is twice daily.
Prevention, severity, uncertainty
Pneumonia vaccination can reduce hospitalization risk in vulnerable older patients, according to an analysis of more than 24 million Medicare patients published in January 2023 in JAMA Internal Medicine. Older adults who had received the 13-valent pneumococcal conjugate vaccine (PCV13) had a 6.7% lower risk of hospitalization compared with older adults who didn't get any pneumococcal vaccine. For vaccinated adults with underlying medical conditions, the hospitalization risk was 5.8% to 7.5% lower.
To best evaluate which patients might be sick enough to warrant hospitalization, the ATS/IDSA guideline recommends the Pneumonia Severity Index (PSI) over the CURB-65 score, which looks at confusion, urea level, respiratory rate, blood pressure, and age. The PSI identifies larger proportions of patients at low risk and better discriminates in predicting mortality, the authors wrote, adding that more research is needed to study the effectiveness and safety of using the CURB-65.
The CURB-65 score's components can be easily obtained in an outpatient setting and can provide a quick snapshot when physicians believe that their patient can be treated at home but want to increase their comfort level with that assessment, Dr. Burke said. The PSI incorporates more elements of the patient's other medical conditions and more bloodwork variables, including an arterial blood gas reading that's typically easier to obtain in the ED, she said.
Still, clinical judgment is the most important risk stratification tool, Dr. Burke said. If the physician has any doubt as to whether a patient can be treated in the outpatient setting, they should refer to the ED for further triage and observation, she said.

